Real cases

We don’t just restore teeth; We restore the confidence of our patients. Learn about our real cases and testimonies here.

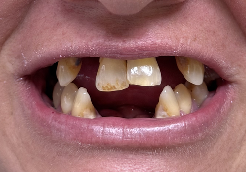
Learn about the case of Ciarán Fagan and his experience in our dental clinic

After visiting the Adeje Dental Clinic, Ciarán has experienced a radical change of life. Before his treatment, he suffered from eating difficulties and avoided smiling due to a lack of confidence.

However, thanks to an efficient process of just six weeks, he received a completely new set of teeth that has restored functionality and joy.

Currently, Ciarán enjoys any meal without restrictions and assures that he has not stopped smiling since then. He continues to rely on the clinic for his regular check-ups and cleanings, and is absolutely delighted with the results obtained.

REAL CASES of patients who have been treated with us

Learn about the before and after of a professional dental treatment in our dental clinic.